
Contents
Computer vision (CV) is a rapidly growing technology that is set to revolutionize healthcare. The technology leverages powerful artificial intelligence algorithms with optical sensors and cameras. As a result, computer vision can help doctors and medical professionals quickly identify diseases, provide accurate diagnoses, offer personalized treatments for patients, monitor medication use, and even predict health outcomes.
This article covers computer vision in healthcare and presents a list of deep-learning applications for healthcare. We will discuss the following:
About us: ProX PC provides, the world’s only end-to-end Computer Vision Platform. The technology helps global organizations to develop, deploy, and scale all computer vision applications – and meet the privacy requirements of healthcare providers. Explore ProX micro edge devices.
Deep Learning and Computer Vision in Healthcare Basics
Deep learning is a subfield of machine learning that has seen a dramatic rise in popularity in the past years. The deep learning trend is driven by increases in computational power (GPUs, parallelized computing), privacy-preserving Edge AI (on-device processing), and more efficient frameworks to train models with annotated data.
The Impact of Deep Learning
Deep learning brought striking advances in computer vision that aim to make computers understand visual data. In traditional machine learning, domain expertise, and human engineering to design feature extractors were needed to create learning algorithms able to detect patterns in data. In contrast, deep learning is a form of representation learning composed of multiple, sequentially arranged layers of representations.
The machine is fed with raw data and develops the representations needed for pattern recognition. With deep learning methods, highly complex functions can be learned that achieve high accuracy in image recognition tasks.

Human Pose Estimation with deep learning can be used to track and analyze movement with Computer Vision.
Computer Vision in Healthcare
Computer vision focuses on image and video understanding. It involves tasks such as object detection, image classification, and segmentation. Medical imaging can greatly benefit from recent advances in image classification and object detection.
Research studies have demonstrated promising results in complex medical diagnostics tasks spanning dermatology, radiology, or pathology. Deep-learning systems could aid physicians by offering second opinions and flagging concerning areas in images.
Convolutional Neural Networks (CNN) have achieved human-level performance in object classification tasks, in which a neural network learns to classify the object contained in an image. Those convolutional neural networks (CNN) have demonstrated strong performance in transfer learning, in which a CNN is initially trained on large datasets (e.g., ImageNet) that is unrelated to the task of interest and further fine-tuned on a much smaller dataset related to the task of interest (e.g., medical images).
Privacy in Computer Vision
There is a great need for privacy in computer vision applications as these technologies can collect and process highly sensitive personal data. Privacy concerns have been raised about the use of computer vision for medical imaging and diagnostics, patient treatments, and diagnosis and treatment tracking.
For healthcare providers to implement computer vision, all stakeholders must understand the privacy challenges associated with these technologies.
To achieve privacy-compliant computer vision, the following requirements must be met:
Solution: If you are looking for a solution that meets all the above requirements, check out ProX PC. The end-to-end computer vision platform is used by leading healthcare organizations and hospitals across the world. Get in touch.

Privacy-preserving Computer Vision in Hospitals: Real-time movement analysis with deep learning
Applications of Computer Vision in Healthcare
In the following, we will discuss those applications and use cases in more detail.
Computer Vision in Healthcare Applications (1-9)
1. AI-based Tumor Detection
Computer vision and deep learning applications have proven immensely helpful in the medical field, especially in the accurate detection of brain tumors. Brain tumors spread quickly to other parts of the brain and spinal cord if left untreated, making early detection highly crucial to saving the patient’s life. Medical professionals can use computer vision applications to make the detection process less time-consuming and tedious.
In healthcare, computer vision techniques like Mask-R Convolutional Neural Networks (Mask R-CNN) can aid in the detection of brain tumors, thereby reducing the possibility of human error to a considerable extent.
2. Computer Vision for Hospital Hygiene Compliance
Computer vision is an incredibly valuable tool in ensuring hospital hygiene compliance. By allowing automated analysis of patient rooms and surfaces, computer vision can help detect dirt, dust, and other forms of contamination that could be harmful to patients and staff. AI vision technology can monitor a room’s cleanliness by analyzing surfaces, detecting dirt accumulation, and detecting disinfection processes.

Dirt Detection with Deep Learning
Computer vision can provide real-time monitoring of high-touch areas such as handrails, door handles, and patient beds, allowing clinical staff to identify areas that need more frequent cleaning. Additionally, AI vision can provide valuable insight into patient usage patterns, enabling facility managers to analyze the people flow in buildings and identify areas that might need additional cleaning or resources. This helps hygiene managers to improve processes and reduce the risk of contamination.
Computer vision can also be used to monitor the actions of hospital staff and visitors, ensuring that all safety protocols are followed. It can recognize when a visitor enters a room without wearing protective clothing, or when medical personnel fail to wash their hands before entering a patient’s room. By automating this monitoring process, computer vision can help hospitals quickly identify and address any potential safety issues.

Automated medical mask detection with deep learning
3. Deep Learning in Medical Imaging
Computer vision has been used in various healthcare applications to assist medical professionals in making better decisions regarding the treatment of patients. Medical imaging or medical image analysis is one such method that creates a visualization of particular organs and tissues to enable a more accurate diagnosis.
With medical image analysis, it becomes easier for doctors and surgeons to glimpse the patient’s internal organs to identify any issues or abnormalities. X-ray radiography, ultrasound, MRI, endoscopy, etc., are a few of the disciplines within medical imaging.

COVID-NET example for computer vision to detect shadows in lung tissue
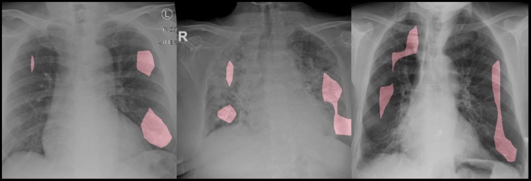
4. Cancer Detection with Computer Vision
Remarkably, deep-learning computer vision models have achieved physician-level accuracy at diagnostic tasks such as identifying moles from melanomas. Skin cancer, for instance, can be difficult to detect in time as the symptoms often resemble those of common skin ailments. As a remedy, scientists have taken the help of computer vision applications to differentiate between cancerous skin lesions and non-cancerous lesions effectively.
AI research has also identified the numerous advantages of using computer vision and deep learning applications to diagnose breast cancer. Trained with a vast database of images consisting of both healthy and cancerous tissue, it can help automate the identification process and reduce the chances of human error.
With the rapid improvements in technology, healthcare computer vision systems may be used for diagnosing other types of cancer, including bone and lung cancer, in the near future.

Lung cancer classification model to analyze CT medical imaging
5. Smart Medical Training
Computer vision is widely used not only for medical diagnosis but also for medical skill training. At present, surgeons do not depend only on the traditional manner of acquiring skills through actual practice in the operation theatre. Instead, simulation-based surgical platforms have emerged as an effective medium for training and assessing surgical skills.
With surgical simulation, trainees get the opportunity to work on their surgical skills before entering the operation theatre. It allows them to gain detailed feedback and assessment of their performance, allowing them to better understand patient care and safety before actually operating on them.
Computer Vision can also be used to assess the quality of the surgery by measuring the level of activity, detecting hectic movement, and analyzing time spent by people in specific areas (regions of interest).
6. Intelligent Disease and Infection Prevention
The Covid-19 pandemic has posed a massive challenge to the field of healthcare globally. With countries worldwide struggling with combating the disease, computer vision can significantly contribute to meeting this challenge.
Due to rapid technological advancements, computer vision applications can aid in the diagnosis, control, treatment, and prevention of Covid-19. Digital chest x-ray radiography images, in combination with computer vision applications like COVID-Net, can easily detect the disease in patients. The prototype application, developed by Darwin AI, Canada, has shown results with around 92.4% accuracy in COVID-19 diagnosis.
Computer vision is used to perform masked face detection, which is widely used to enforce and monitor strategies preventing the spread of pandemic diseases.
7. Automated Vital Signs and Health Monitoring
Automated health monitoring helps medical professionals to estimate and quantify the health and fitness of their patients. Using these analyses, doctors and surgeons can make better decisions faster, for example, for prioritizing emergency care or determining the optimal timing of surgical interventions.
In another use case, computer vision models were used to measure the amount of blood lost during surgeries to determine whether the patient has reached a critical stage. Therefore, a software application estimates the amount of blood needed by the patient during or after the surgery.
8. Medical AI Diagnostics
Medical imaging and diagnostics have become increasingly important in modern healthcare, as they provide invaluable insights that can help medical doctors detect and diagnose diseases. In recent years, the advancement of computer vision in healthcare has led to faster, and more accurate diagnoses.
Using computer vision algorithms, medical images can be quickly analyzed for signs of diseases, enabling more accurate diagnoses at a fraction of the time and cost of traditional methods. Assisted or automated diagnostics help to reduce the overall costs of healthcare by preventing unnecessary treatments.
Image recognition algorithms have shown great success in recognizing patterns to spot diseases, for example, to help physicians identify minor changes in tumors to detect malignancy.

Example of malignant/benign classification with Computer Vision
9. Rapid Disease Early Detection
For several types of diseases like cancer, tumors, etc., the life and death of the patient depend on timely detection and treatment. Detecting the signs early gives the patient a higher chance of surviving.
Computer vision applications are trained with vast amounts of data consisting of thousands of images that enable them to identify even the slightest difference with a high level of accuracy. As a result, medical professionals can detect such minimal changes that might have otherwise missed their eyes.
Computer Vision in Healthcare Applications (10-19)
10. Home-based Patient Rehabilitation Monitoring
Many patients prefer to rehabilitate at home after an illness compared to staying at a hospital. With computer vision applications, medical practitioners can provide patients with the necessary physical therapy and track their progress virtually. Such home training is not only more convenient but economical too.
In addition, computer vision technologies can also aid in remote monitoring of patients or the elderly in a non-intrusive manner. A widely researched area is computer vision-based fall detection, where deep learning-based human fall detection systems aim to reduce dependency and care costs in the elderly community. To read more about this topic, I recommend checking out our in-depth article about Fall Detection: A Vision Deep Learning Application.
Another method of patient monitoring with computer vision is the video-assisted analysis of standardized medical tests such as the TUG test (Timed Up and Go test). The computer vision system measures the time needed to perform a simple evaluative test to assess functional mobility. The TUG test can be used to estimate the risk of falling and the ability to maintain balance while walking.
11. Healthcare Lean Management
To properly identify a disease, a medical professional needs to spend a lot of time going over the reports and images to minimize the chances of error. However, with the implementation of a computer vision tool or application, they can save a considerable amount of time while also getting highly accurate results.
Computer vision in healthcare helps hospitals to create maximum value for patients by reducing waste and waits. Queue detection, occupancy analysis, and people counting offer new tools to increase efficiency in healthcare. Unsurprisingly, many of those applications originally emerged in retail industries and are increasingly adopted by healthcare facilities to improve service quality and increase efficiency.
12. Image Analysis for Surgical Guidance Systems
Robotic surgery assistance systems are a rapidly developing technology used to increase the accuracy and safety of minimally invasive surgeries. By utilizing imaging techniques such as CT scans, MRI, ultrasound, and X-rays, surgeons are equipped with images of areas of the body. These images can help them identify the exact location and size of a target area before beginning a surgical procedure.
This technology is especially useful in cases where the exact location of a tumor or other structure needs to be known before surgery. Once identified, the surgeon can then utilize an on-screen three-dimensional model of the patient’s anatomy to perform preoperative planning and intraoperative guidance during the actual procedure.
13. Visualize and Track Chronic Conditions
Computer vision and AI applications are being used for the automated monitoring of health outcomes. Therefore, intelligent systems monitor and track different health outcomes over time. Camera-based AI technology can autonomously determine various health metrics such as vital signs, activity levels, nutrition intake, sleep quality, and more.
By using technology to track and monitor chronic conditions, patients can gain insight into their health and make informed decisions about their care. AI can recognize patterns over longer periods to give doctors valuable insights into the progression of a patient’s condition.
14. AI Vision for People with Disabilities or Impairments
Computer vision technology has the potential to be a transformative tool for people with disabilities or impairments. The potential applications of this technology are numerous. One example is using computer vision technology to help people with low vision or who are blind see and experience the world around them in ways that were not previously possible.
This could involve providing a way for someone with a visual impairment to navigate an unfamiliar environment without any assistance, as well as being able to effectively “read” text and images that would normally be inaccessible. Additionally, computer vision could enable the development of assistive technologies that allow people with disabilities to control devices in their environment through facial expressions or gestures.
15. Personalized Treatments for Patients
AI vision for Personalized Treatments for Patients has been an ongoing quest in the medical field. It entails using technology to better understand and diagnose individual illnesses and conditions, as well as to create tailored treatments that will be more effective on a case-by-case basis.
AI analysis of medical imaging tools, such as computer tomography (CT) and magnetic resonance imaging (MRI), helps to assess and diagnose diseases on an individual level to suggest personalized treatments that are tailored to the individual’s unique medical needs.
16. Computer Vision for Medication Management
Computer vision for Medication Management is an innovative technology that aims to revolutionize how drugs are distributed and administered. This technology works by utilizing cameras, sensors, and computer algorithms to scan medication labels and track the entire process from distribution to administration. The system also facilitates communication between physicians, nurses, and pharmacists to ensure accuracy in medication dosage and administration.
The computer vision-driven medication management system has the potential to drastically reduce the number of medical errors that occur due to incorrect or missing prescriptions, incorrect dosages, or even forgetting to take a certain medication.
It can also ensure that medications are administered on time, thus reducing the risk of drug interactions and other adverse effects. Furthermore, the system can provide real-time feedback to physicians and nurses so they can be alerted when dosages change or incorrect medications are prescribed.
The implementation of computer vision for medication management increases patient safety. Thus, reducing the burden on healthcare professionals, and saving time and money in the long run.
17. Facial Recognition for Patient Identification
Facial recognition for patient identification uses computer algorithms to match facial features from digital images against records of existing patients. By comparing two or more digital images of faces, facial recognition determines whether the individuals are the same person.
This technology has been applied in various healthcare applications, such as quickly and accurately verifying patient identities during hospital admissions, preventing errors in clinical practice (patient safety), helping prevent medical identity fraud, streamlining the registration process, and preventing unauthorized access to sensitive information or areas.

Privacy-preserving Face Recognition
18. Automating Counting Cells
Computer vision can be used to identify and count cells. Various computer vision methods have been introduced as alternatives to traditional microscopy and rapid diagnostic tests. AI vision methods hold much potential to drastically reduce errors arising from manual cell counting and save a significant amount of human resources, time, and cost.
Accurate and early diagnosis is critical to proper malaria treatment and hence death prevention. Researchers trained a deep learning model based on Mask R-CNN to detect and count uninfected and infected red blood cells. The AI model generated reports at a 15 times faster rate compared to manual counting procedures, without compromising on accuracy.

Neuronal cell segmentation model for microscopic analysis
19. Detecting Changes in Tissue Structure Over Time with AI
Advances in artificial intelligence (AI) have enabled researchers to better detect changes in tissue structure over time. Thus, providing valuable insights into the development and progression of diseases. AI is especially useful for examining tissues at a microscopic level. This has allowed for the analysis of individual cells, their composition, and interactions with neighboring cells.
By observing how tissue structure changes as disease progresses, researchers can develop new treatments and therapies. AI is also being used to detect signs of cancer in medical images, allowing for earlier diagnosis and treatment of the disease.

Cell instance segmentation with Computer Vision
What’s Next for Computer Vision in Healthcare?
Computer vision has shown great potential in healthcare and medical imaging. However, as technology is advancing fast, more and more medical use cases have become possible. However, privacy-preserving deep learning and image recognition will be required to operate computer vision in healthcare applications.
Therefore, Edge AI will be an important technology, moving deep learning from the cloud to edge devices. By performing the ML tasks on-device, edge devices process video streams in real time without sending sensitive visual data to the cloud.
For more info visit www.proxpc.com
Related Products


Jyoti Ranjan is the Technical Head at ProX PC, where he leads the research, system design, and manufacturing divisions. He is responsible for complex architecture planning and rigorous performance validation, ensuring that every workstation and server meets ProX PC’s uncompromising technical standards before it reaches the client.
Share this: